インビザラインとブリッジで噛み合わせを整えた症例
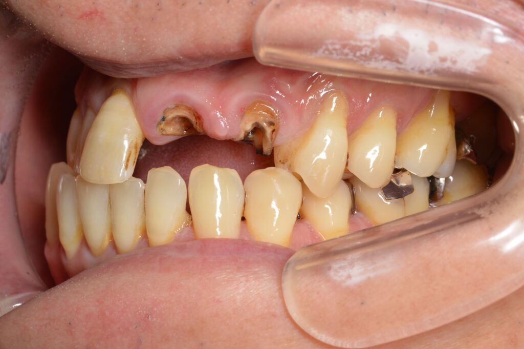
治療前

治療後
| 主訴 | |
|---|---|
| 治療期間 | 1年3カ月 |
| 治療費 | 矯正治療費55万円 補綴治療費88万円 |
| 治療内容 | 左上の前歯が折れてしまったということで受診。噛み合わせに問題があるため、矯正治療後に被せ物を作成する治療計画を立案。インビザラインGOで半年をかけて矯正治療を行い、その後に右上奥歯と右上前歯〜左上小臼歯にかけてセラミックブリッジを装着し、保定に移行した。 |
| 治療のリスク | マウスピースの使用時間が少ないと、予測通りの歯の移動が生ず、治療期間の延長や追加料金が発生する。インビザラインGOでは追加アライナーの作成は原則1回のみなので、患者さんのハイレベルの協力が不可欠である。また、ブリッジを長期に維持するには定期的なメンテナンスと、良質な日々のケアが必要となる。 |
インビザラインに関してはこちら→https://www.gift-dental.com/treatment/ortho01.html
藤沢の歯医者|藤沢ギフト歯科・矯正歯科






