インビザライン体験記⑫〜これまでの振り返り〜
こんにちは
藤沢ギフト歯科・矯正歯科の歯科助手です。
早いもので、52枚の治療計画も残り半分を切りました!
今回は「これまでの振り返り」ということで、
歯並びや生活の変化、大変だったこと、良かったことをお話します。
歯並びの変化
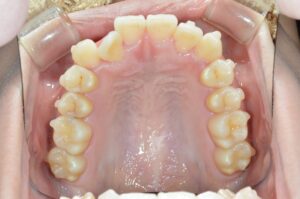
矯正開始前→現在(No.30)の順で並べていきます。


上の左右2番目の歯が少し前に出てきました!


咬合面(噛む面)から見ると変化がわかりやすいですね!


下の歯は最近ようやく動き始めたので大きな変化はまだ見受けられません。
今後に期待です!
生活の変化
生活の中で1番変化があったのは、やはり「食」です。
・1日20〜22時間以上のアライナーの装着
・食後の歯磨き必須
・着脱回数はできるだけ少なく
これらを意識した生活を送るため、外食や間食が減りました。
買い物に行って小腹が空いたからカフェに入ろうかなと思っても、
アライナーを外すのが面倒で「やっぱりやーめた!」となることがたくさんあります。
院長にはインビザラインを始めても痩せないよと言われていましたが、
私は食欲よりもアライナー着脱の面倒くささが勝っているので、
体重と出費が減りました!!!嬉しい変化です♪
大変だったこと
最初の頃は食欲との葛藤や、喋りにくさ、時間の制限などを苦痛に感じていましたが、
半年も矯正ライフを送っていれば生活の一部となり、慣れてしまいます。
そんな中で1つ挙げるとすれば、「物が噛みにくい」ことです。
(大変だったというより、今まさに直面している問題なのですが、、、)

もともと奥に引っ込んでいた歯(○の部分)が前に出ようとしているので、その歯ばかりが当たってしまうのです。

楽に噛むと写真のような状態で、何かを噛むには顎を前にずらさないといけません。
噛み合わせを気にせず食べられる日を夢見て、今はシャクレながら食事をしています。
良かったこと
体重と出費が減ったこともちょっぴり嬉しかったですが、
1番良かったことは「歯への意識が高まった」ことです。
日々歯並びの変化を探して、自分の歯を良く観察するようになりました。
また、毎食後必ず歯磨きをしてフロスを通すことが習慣になり、
出先などで歯磨きができないとうずうずします。
歯は一生物なので、矯正が終わっても毎食後の歯磨きとフロス、歯の観察を続けて、
健康な歯と綺麗な歯並びを維持していきたいです。
さてさて、今日までほぼ毎日インビザラインの使用方法を守って過ごしてきましたが、
そろそろ遊んでみてもいいかな?とちょっとした実験を企んでいます!!
その一環として次回は、私の大好きな「食べ歩き」体験を更新する予定です。
果たしてインビザライン矯正中も食べ歩きを楽しめるのでしょうか、、、お楽しみに♪


