インビザライン体験記⑱〜神経が死んでしまう?〜
こんにちは
藤沢ギフト歯科・矯正歯科の歯科助手です。
今回は、私の右上2番目の歯の秘密についてお話します。
当院では、インビザラインでの矯正治療を始めるすべての方に、治療同意書として矯正中に起こり得る様々なリスクについてお話しています。
その中の一つ「歯の移動によって神経が死んでしまう(失活する)場合があります」という説明があるのですが、私の歯がまさに失活してしまいそうな怪しい状態になっています!!
神経が死んでしまう原因としては
・虫歯が神経まで進行してしまった
・過去に強くぶつけるなどの衝撃が加わった
などがあり、矯正治療中に神経が死んでしまう原因としては
・歯の移動量が多い
・マウスピース着脱時に無理な力が加わっている
などが考えられます。
神経が死んでしまう前には、
・冷たいものだけではなく温かいものもしみる
・歯がピンク色っぽくなる
・虫歯による細菌感染の場合は何もしなくてもズキズキ痛む
などの症状が出るようです。
そして、神経が死んでしまうと
・歯の色が段々暗く変色してくる
・しみたり痛みを感じなくなる
・歯の根っこの先に膿が溜まり、歯茎にニキビのようなものができる
といった異変が現れます。
一度死んでしまった神経が戻ることはなく、神経がない歯は健康な歯に比べて寿命が短いとも言われています。
ですから、歯の神経が死んでしまうという一大事はできる限り避けたいものです。
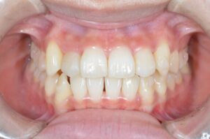
ではここで、私の歯をよ〜く見てみてください!

昨年12月頃の写真なのですが、右上2番目の歯が少しピンク色っぽくなっていると思いませんか?
実は11月頃から、この歯だけ冷たいものが「キーン」としみるようになっていました。
そして12月頃には温かいものもしみるようになってしまい、神経が死んでしまうんじゃないかと怯えながらそ〜っと着脱する毎日でした。
その後は、追加アライナーが届くまでの歯を動かさない期間もあったのですが、3月頃には何もしみない上に、グレーがかった色になってきたのです。


ついに神経が死んでしまったのかと諦めの気持ちを抱きながらも、先日、神経の生存確認をしてもらいました。
方法は意外と原始的で、ドライアイスのように冷やしたスポンジを歯に当てるだけです。
神経が生きていればキーンとしみたり冷たいと感じ、死んでしまっている場合には何も感じません。
結果は、、、じんわりしみる感覚があったので、まだなんとか生きているようです!!
まさか失活のリスクを自分が経験するとは思っていませんでしたが、経験してみて、決められた使い方を守るのは大切だなぁと改めて実感しました。
また、患者さんによりリアルなお話をできるようになったので、良い経験ができたと自分に言い聞かせています。
今矯正中のみなさんも、これから矯正しようかなと考えているみなさんも、「自分はきっと大丈夫」とは思わずに、矯正にリスクはつきものと覚えておいてくださいね!!
ワイヤーを付けた歯の経過
前回のブログ(インビザライン体験記⑰)でワイヤーを併用することになったとお話したのですが、早いものでワイヤーを付けてから1ヶ月経ちました。
着々と並んできています。


よーく見ると右上2番目の歯が前に動いています。


こちらもよーく見ると、ワイヤーが真っすぐになってきています。
アライナーで動かしている下の歯も順調に進んでいるので、もしかしたらこのまま終えられるかもしれません♪(終えられないかもしれませんが、、、)
次回は、追加アライナーを使い切った歯並びお見せする予定です!お楽しみに☆


