歯周病
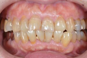
治療前

治療後

| 主訴 | 58歳女性 クリーニング希望 |
|---|---|
| 治療期間 | 6回(3ヶ月) |
| 治療費 | 保険診療 |
| 治療内容 | 全体的に歯石の沈着、歯茎の発赤・出血、腫脹がみられ、中程度の歯周病と診断。歯石・プラーク除去、歯磨き指導、また数回に分けてSRPを行った。 |
| 治療のリスク | 歯肉退縮、知覚過敏が生じる場合がある。 |
藤沢の歯医者|藤沢ギフト歯科・矯正歯科


| 主訴 | 58歳女性 クリーニング希望 |
|---|---|
| 治療期間 | 6回(3ヶ月) |
| 治療費 | 保険診療 |
| 治療内容 | 全体的に歯石の沈着、歯茎の発赤・出血、腫脹がみられ、中程度の歯周病と診断。歯石・プラーク除去、歯磨き指導、また数回に分けてSRPを行った。 |
| 治療のリスク | 歯肉退縮、知覚過敏が生じる場合がある。 |
2023年 (23)
2022年 (61)
2021年 (79)