インビザライン体験記㉑〜劇的ビフォーアフターとゴールへ向けて微調整〜
こんにちは!
藤沢ギフト歯科・矯正歯科の歯科助手です。
前回の更新から少し間が空いてしまいましたが、インビザライン生活はとっても順調です!
実はもう最後のアライナーNo.11まで到達しているのですが、今回はNo.8時点で撮影した写真をご覧いただこうと思います。
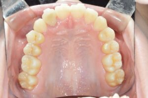
矯正前とNo.8時点の歯並び




劇的ビフォーアフターだと思いませんか??
かなりきれいに並んでいるので、このまま終わりでも良い気がするのですが、実は上下の正中がズレています。

残りの3枚のアライナーを使って修正していきます!
No.9からゴールへ向けて
No.9からはオーバーコレクションステージと言って、わずかな歯間のゆるさを改善するためのマウスピースになっています。

今回の追加治療計画では、顎間ゴムの使用は組み込まれていませんでしたが、正中のズレを修正するために、No.9から顎間ゴムを使用することになりました!
製造されたアライナーには顎間ゴムをかけるための切れ込みがないので、専用の道具を使って切れ込みを作ります!

私の場合は上の正中を少し右(下の正中を少し左)にずらしたいので、このようにゴムを掛けます。

通常7日交換、光加速装置を使って5日交換ですが、微調整と歯並びのキープ(保定)期間を兼ねて14日以上使用して交換することとなりました。
これで正中が合えばいよいよ治療終了になりそうです!
やっと終わる〜!!という嬉しい気持ちでいっぱいですが、実はまだまだマウスピース生活は続くのです!
その謎は次回のお楽しみに♪
次回まで待てないよ〜という方はこちらから答えを探してみてください!


